
Sometimes the obvious skips right past us.
(Article by Bill Sardi republished from LewRockwell.com)
We have all viewed film footage of multiple shots hitting President John F. Kennedy’s neck and head in a frontal attack, and part of his head was blown onto the trunk of his open limousine, but the story was a shooter behind the President’s moving vehicle with a crude rifle with no gunsight, was the lone assassin.
Commercial aircraft were hijacked beginning at 7:59 AM and flying off course on 9-11-2001 and struck the World Trade Center Towers almost an hour later and no radar system detected or alerted the military in a timely manner. Then Building 7 was “pulled” and fell when explosives would have had to have been placed prior to the event to do this. Don’t ask questions! Accept the official interpretation of these events.
Reality
So, the public is told spike protein is what facilitates the entry of a gain-of-function mutated, laboratory-created virus into living cells in the lungs, so spike protein vaccines are developed to do what? Create more entry of viruses into cells?
So, why is the public surprised to learn that COVID-19 vaccinated individuals are getting infected again and again which is being blamed on a mutated variant. 75% of the new COVID-19 cases in Singapore already got the shot. But spike protein facilitates entry of all viruses, regardless of viral strain.
Panic shifts from virus to vaccine
The pandemic has shifted from virus to vaccine. The spike protein itself is now the disease. It attacks the blood vessels says a report published in the medical journal Circulation Research.
“Fool me once, shame on you. Fool me twice, shame on me.”
President George W. Bush
As 40 trillion RNA particles are injected into the deltoid muscle in the arm, some find their way into the blood circulation and re-program cells in the lining of arteries to perpetually produce spike protein. The vaccinated now have a genetically programmed RNA/DNA spike protein factory inside their small arteries that will endlessly produce spike protein and facilitate micro-blood clots.
Fingering the anti-vaxxers
A few brave malcontents call the vaccines bioweapons and they are identified and pilloried in the court of public opinion as the Dirty Dozen anti-vaxxers who spread vaccine hoaxes. But credible researchers at Doctors 4 Covid Ethics are calling the COVID-19 RNA/DNA vaccines “an unprecedented medical disaster” and demand the “poisonous vaccine” trials be deemed to be a “crime against society” and be halted.
Modern medicine is in denial
Modern medicine responds that the blood clot risk from the virus is greater than that produced by the vaccines, and therefore the risk is justified. But healthy young people are getting vaccinated and their loved ones are called to identify their body at the morgue. This should never be. Maybe natural immunity, which is proving to be safer and more effective than vaccine-induced immunity, should be public policy. But doctors and politicians are over-committed to vaccines. Halting vaccination would bring down Wall Street and result in politicians losing control over the population. What is happening is not a massive medical mistake, it appears more and more like a crime.
In the anxiety business
The news media has deliberately induced panic in the population to boost their ratings. The Centers for Disease Control reveals anxiety is the second most important contributing factor to death from COVID-19, behind obesity. Anxious Americans are 28% more likely to die of COVID-19.
Doctors are talking about major strokes and heart attacks, not the micro-clotting, which are rare (a few cases among a million vaccine jabs). But doubt over vaccine safety is creeping into the medical literature. One medical journal publishes a report entitled “Vaccine-Induced Thrombotic Thrombocytopenia: The Shady Chapter Of A Success Story.”
Social pressure mounts against the unvaccinated
The 80-million foolish vaccinated Americans now berate the remaining unvaccinated, a witch hunt this writer predicted months ago. But now, how to inform millions of Americans they have been conned? Their lives are at risk. It is so worrisome that when confronted with this information, this writer receives “remove me from your email list” messages. It may be too troublesome to bear. Especially for those unsuspecting Americans who feared the contrived virus scam more than their own government. A lot of sleepless nights are coming for vaccinated Americans. But there is a way out. Keep reading.
The blood clot problem is not going to go away
As we learn from a cardiologist that the blood clot problem will continue, high blood pressure will initially ensue and three years later the vaccinated will succumb to right-sided heart failure. Other organs and tissues will suffer the same fate. Can we call these RNA/DNA vaccines anything other than bioweapons?
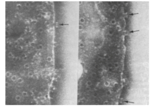
Below is a photograph of holes literally being drilled into healthy living cells by the antibodies now produced to counter the spike protein. This antibody attack is more robust after booster shots. It’s a good idea to skip those booster shots if you haven’t already received them.

Vaccinated: now what?
If the vaccinated masses wait for a circulatory problem to occur, it will likely be too late. Even modern medicine can’t safely use fast-acting heparin as a blood thinner to break up clots because it may induce further bleeding. What to do?
Prophylaxis: enzyme from pineapples
First, every vaccinated individual should take prophylactic action. The simplest way would be to use enzymes to break up spike protein by inhibition of spike protein binding to cells. A pineapple enzyme, bromelain, has been successfully used to inhibit COVID-19 infection but has double-action to break up clots and block spike protein. Bromelain has been combined with an off-the-shelf antioxidant (NAC – N acetyl cysteine) to inactivate spike protein. The enzyme + antioxidant work synergistically and should be used together. (No wonder the FDA has attempted to ban NAC recently.) Both are widely available at health shops.
Nattokinase is a longer-acting enzyme that is also widely available (works for up to 8-12 hours) and is superior in some ways to anti-clotting drugs.
Another disruptor of spike protein is resveratrol, a red wine molecule. Resveratrol is already widely known as a blood thinner that prevents clot-type heart attacks in coronary arteries and is considered a primary antidote against COVID-19. Resveratrol exerts strong binding properties to spike protein that exceeds that hydroxychloroquine, a widely heralded drug used for the same purpose. Fisetin, another natural molecule commonly found in strawberries, was found to have the strongest binding activity to spike protein, thus blocking spike protein entry into cells. Resveratrol was found to be superior to pterostilbene, its molecular cousin, at disrupting spike protein.

Graphic depiction of RESVERATROL molecular docking to spike protein, thus disrupting spike protein entry into cells.
Source: Journal Biomolecular Structure & Dynamics,
Volume 39, No. 9, page 3225, 2021.
What to do when new variants arise?
A scientific report published in Current Opinion In Food Science (Volume 32, page 149, 2020) say “therapies such as vaccines may lose their efficiency if the virus mutates and changes its antigenicity. Therefore, drugs that target host-cell viral receptors (ACE2), a doorway for spike protein and viruses themselves to enter cells, may improve the immune response and have strong potential.”
Resveratrol blocks every known pathway to COVID-19 infection. Of note: while fish oil and garlic inhibit blood clotting via inhibition of sticky blood platelets, they don’t address fibrin blood clots that are found among COVID-19 patients. Enzyme therapy and/or resveratrol help to break up fibrin clots. While resveratrol has been demonstrated to protect the very vulnerable endothelial cells that line the interior of arteries, excessive doses (500-1000+ milligrams) of resveratrol are counterproductive. In a lab dish, resveratrol did not harm healthy cells but inhibited the growth of COVID-19 infected cells by 98%.
D-dimer test
If vaccinated Americans want to know if they are truly at risk for blood clotting problems, they can ask their doctor for a D-dimer test, which indicates recent clotting problems. COVID-19 survivors have a ten-times lower D-dimer level than non-survivors. Healthy individuals have D-dimer levels less than 0.5 micrograms/ milliliter of blood.
You can fool all of the people some of the time,
and some of the people all of the time,
but you can’t fool all of the people all of the time.
Vaccinated Americans urged to pressure their unvaccinated friends and family
The vaccinated are on a campaign, urged on by doctors and politicians, to prod, pressure and even force the unvaccinated to get immunized with a spike-protein vaccine. You might want to hand your vaccinated friends and loved-ones a copy of this report and warn them they have been misled and need to take action to prevent anticipated problems.
News Editors
Read more at: LewRockwell.com and SpikeProtein.news.
Related Posts
- Fauci admits he’s been lying to Americans about “herd” immunity
- COVID-1984: WHO changes official definition of “herd” immunity to remove natural immunity
- In order for coronavirus vaccines to “work,” the “herd” would need to be vaccinated every six months
- Infected patients develop long-term immunity to coronavirus

