
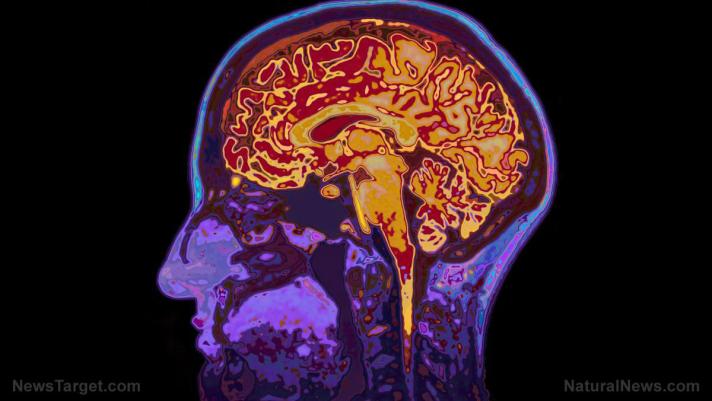
Dr. James Hardt discovered the “angel pattern,” a unique brain wave pattern associated with individuals who claim to see supernatural beings, such as angels.- The “angel pattern” is characterized by elevated Alpha brain waves in the center of the brain, a finding that challenges conventional scientific understanding of brain activity.
- Dr. Hardt’s work builds on neurofeedback research, a technique that allows individuals to regulate their brain waves and promote desired mental states.
- Participants in Dr. Hardt’s training courses have reported various benefits, including improved mental clarity, increased focus and enhanced performance in various activities.
- Despite the promising results, neurofeedback and Dr. Hardt’s courses remain underutilized, but the growing interest in mental wellness and alternative therapies may lead to increased adoption in the future.
In a groundbreaking discovery that bridges the realms of science and spirituality, Dr. James Hardt, a pioneer in the study of brain waves, has identified a unique pattern in brain scans that he associates with individuals who claim to see supernatural beings, including angels. This revelation, emerging from decades of research, challenges conventional understanding and opens new avenues for exploring the intersection of neuroscience and the paranormal.
The discovery of the “angel pattern”
Dr. James Hardt, founder of the Biocybernaut Institute in Arizona, has dedicated over four decades to the study of brain waves and their modulation through neurofeedback. In recent years, he has uncovered a distinctive pattern in brain activity that he calls the “angel pattern.” This pattern is characterized by elevated Alpha brain waves in the center of the brain, rather than the more common high levels in the back.
“When I see this pattern, I ask, ‘Do you see angels?’ People are often amazed and say, ‘I’ve never told anybody,’” Dr. Hardt shared with DailyMail.com. This pattern, he claims, is present in only about 15 percent of the individuals he has studied, all of whom report experiencing supernatural phenomena.
Historical context and current relevance
The concept of supernatural experiences has a rich history, often intertwined with religious and cultural narratives. From ancient spiritual practices to modern-day paranormal investigations, the idea of seeing angels and other supernatural beings has captivated human imagination for centuries. However, scientific exploration of these phenomena has been limited, making Dr. Hardt’s discovery particularly significant.
Dr. Hardt’s work builds on the foundational research of neurofeedback, a technique that has been around since the 1950s. Neurofeedback involves placing sensors on the scalp to measure brain wave activity and providing real-time feedback to the individual. This allows people to learn how to consciously regulate their brain patterns, promoting desired states such as focus, relaxation and even heightened creativity.
Case studies and personal experiences
One of the most compelling case studies involves a Green Beret whom Dr. Hardt tested during a session at a military base. When asked if he saw entities that others couldn’t, the Green Beret had an intense reaction. “I felt like I hit him with a two by four,” Dr. Hardt recalled. The Green Beret revealed that during his martial arts training, he was coached by an elderly, Asian martial arts master who was invisible to others.
Another notable participant is life coach and author Tony Robbins, who completed the Biocybernaut training and reported significant mental enhancements, including the ability to multitask more effectively. “My mental clarity and focus have improved dramatically,” Robbins said.
Jane, a 69-year-old woman from Switzerland who has completed the training 12 times, described her experience as a “confrontation with your inner self.” She felt “immensely lighter” and gained a “different level of understanding of the universe” after the courses.
The impact of neurofeedback
Dr. Hardt’s training courses, which can cost up to $15,000, involve a week-long, intensive program where participants spend 10 to 12 hours a day in sealed chambers with electrodes attached to their heads. The program includes listening to sounds that provide feedback from the brain, helping individuals learn to control their brain waves.
The benefits of neurofeedback are not limited to supernatural experiences. Dr. Hardt claims that his training can help people overcome trauma, reduce anxiety and even increase IQ by almost 12 points. “Anything that you do as a human being, whether for work or play or hobbies or whatever, you will do it better when your brain works better,” he added.
Challenges and future directions
Despite the promising results, neurofeedback and Dr. Hardt’s specific courses remain relatively underutilized. Dr. Hardt attributes this to what he believes is deliberate suppression by governments, who fear the potential of neurofeedback to “wake people up.” However, the growing interest in mental wellness and alternative therapies suggests that neurofeedback may gain more traction in the coming years.
The discovery of the ‘angel pattern’ and the broader applications of neurofeedback represent a significant step forward in understanding the complexities of the human brain. As Dr. Hardt’s research continues to evolve, the implications for fields ranging from psychology to spirituality are profound, offering a new lens through which to view the human experience.
For those who have long sought a scientific explanation for their supernatural encounters, Dr. Hardt’s work provides a tantalizing glimpse into the potential of the human mind to perceive and interact with the unseen world.
Willow Tohi
Sources include:
Related Posts
- World Economic Forum believes people are “useless eaters,” and views their “brains and bodies” as product that can be hacked, controlled and discarded
- Self-spreading vaccines being developed right now could put society at grave risk of an uncontrolled, endless plague
- Attorney Thomas Renz says prosecutions are coming for the covid plandemic masterminds who committed crimes against humanity
- Corporate-controlled media attacks Merck’s ivermectin rip-off drug for competing against the almighty “vaccines”


